Plaque Rouge Sur Le Palais

Tache Rouge Sur Le Palais Un Signe De Cancer

Tache Rouge Sur Le Palais Un Signe De Cancer

Eugenol Tache Rouge Sur Le Palais

Eugenol Tache Rouge Sur Le Palais

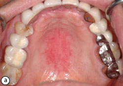
Prise En Charge De Patients Atteints De Candidose Buccale Jcda

Prise En Charge De Patients Atteints De Candidose Buccale Jcda

Tache Rouge Au Palais Est Ce Un Aphte

Tache Rouge Au Palais Est Ce Un Aphte

Le Syndrome De La Fellation Vigoureuse Realites Biomedicales

Le Syndrome De La Fellation Vigoureuse Realites Biomedicales

Comment Reconnaitre Les Symptomes Du Cancer De La Bouche

Comment Reconnaitre Les Symptomes Du Cancer De La Bouche

Comment Reconnaitre Les Symptomes Du Cancer De La Bouche

Cependant ce type de lésion peut avoir une autre origine.

Plaque rouge sur le palais. Plaque rouge qui gratte ou qui démange. La gencive peut être sensible au brossage à la soie ou même lors des nettoyages. Il est fréquent de voir apparaitre des plaques rouges qui grattent sur la peau.

L apparition d une plaque rouge sur le voile du palais est l un des premiers signes cliniques du cancer du palais. J ai un tâche rouge au palais depuis 2 semaine si vous savez merci de m aider car mon médecin ne ces pas de plus j ai de la fièvre et des touts petit bouton blanc à l intérieur des joues. Ces petites bosses sont généralement le résultats de grandes fièvres de problèmes d estomac ou d infections de la bouche mais peuvent également se produire après une intervention dentaire.

Les points rouges sur le palais peuvent avoir un grand nombre de causes. Nous n abordons ici que les plaques en petit nombre cliquez ici en cas de démangeaisons de la peau ou de plaques qui grattent avec des boutons sur la peau. Le palais irrité génère généralement des sensations particulièrement désagréables puisqu il s agit généralement d une inflammation palais.

Elle se détecte par le saignement des gencives lors du brossage ou de la soie dentaire par une rougeur de la gencive ou une présence d enflure. Voici les différentes possibilités. Le palais enflammé provoque des difficultés à manger des douleurs et une gêne.

Si elle n est pas traitée la tumeur va augmenter de taille toucher les structures voisines gencives joues etc et s infiltrer en profondeur en détruisant l os du palais. Lorsqu une tache rouge sur le palais est due à un aphte et que le problème est récidivant modifier certaines habitudes peut donner de bons résultats. Traiter cette affection pour réduire l inflammation est très important mais si l inflammation ne guérit pas ou qu elle se produit souvent vous devrez consulter un médecin car il pourrait s agir d une infection qui nécessite un traitement médical.

La gingivite est une inflammation de la gencive causée principalement par la plaque dentaire biofilm et le tartre. Sont une irritation du gland ou apparition de plaque rouge sur le pénis. Les causes des plais sur le palais les plaies ou aphtes sont de petits ulcères qui peuvent apparaître dans toutes les parties de la bouche les lèvres les gencives et le palais.

Blanc Ou Noir Sur Le Palais Du Nourrisson L Information Dentaire

Blanc Ou Noir Sur Le Palais Du Nourrisson L Information Dentaire

Les Maladies De La Bouche Des Moins Graves Aux Plus Graves Bucco

Les Maladies De La Bouche Des Moins Graves Aux Plus Graves Bucco

Petits Boutons Rouges Sur Tout Le Corps Docteurclic Com

Petits Boutons Rouges Sur Tout Le Corps Docteurclic Com

Les Cancers De La Bouche Cavite Buccale Bucco

Les Cancers De La Bouche Cavite Buccale Bucco

Pathologies De La Bouche Quelles Solutions

Pathologies De La Bouche Quelles Solutions

Depister Les Cancers Buccaux Et Virus Du Papillome Humain Hpv

Depister Les Cancers Buccaux Et Virus Du Papillome Humain Hpv

Une Mere Decouvre Une Tache Etrange Sur Le Palais De Son Bebe Video

Une Mere Decouvre Une Tache Etrange Sur Le Palais De Son Bebe Video

Dermato Info Les Mycoses Cutanees

Dermato Info Les Mycoses Cutanees

Le Palais De Chine Comines Photos Comines Hainaut Belgium Menu Prices Restaurant Reviews Facebook

Le Palais De Chine Comines Photos Comines Hainaut Belgium Menu Prices Restaurant Reviews Facebook

Phlegmon Amygdalien Tout Sur Le Phlegmon De L Amygdale

Phlegmon Amygdalien Tout Sur Le Phlegmon De L Amygdale

Complexe Granulome Eosinophilique Felin Wikipedia

Complexe Granulome Eosinophilique Felin Wikipedia

Langue Fissuree Wikipedia

Langue Fissuree Wikipedia

Soins Et Bien Etre Hammam Marrakech Hotel Spa Marrakech Marrakech Hotel Marrakech Marrakech Morocco

Soins Et Bien Etre Hammam Marrakech Hotel Spa Marrakech Marrakech Hotel Marrakech Marrakech Morocco

Guerir Une Brulure Du Palais Naturellement Avec Du Bicarbonate De Soude Soigner Une Brulure Huiles Essentielles Pour Maigrir Guerir

Guerir Une Brulure Du Palais Naturellement Avec Du Bicarbonate De Soude Soigner Une Brulure Huiles Essentielles Pour Maigrir Guerir

Epingle Sur Paris 1er

Epingle Sur Paris 1er

Fraises Aux Delices Du Palais Les Recettes D Une Passionnee Recette Avec Des Fraises Recette Pate De Fruit Recette

Fraises Aux Delices Du Palais Les Recettes D Une Passionnee Recette Avec Des Fraises Recette Pate De Fruit Recette

Pyralvex Solution Gingivale Antiseptique Contre Les Aphtes 10 Ml

Pyralvex Solution Gingivale Antiseptique Contre Les Aphtes 10 Ml

Roger Gallet Gingembre Rouge Fragrant Wellbeing Water Perfume Unisex Perfume Eau De Parfum

Roger Gallet Gingembre Rouge Fragrant Wellbeing Water Perfume Unisex Perfume Eau De Parfum

Https Encrypted Tbn0 Gstatic Com Images Q Tbn And9gcqalmlbtao2wvcvkjqc8xwrfqt8iejdjsctme3zffxlujonijum Usqp Cau

Https Encrypted Tbn0 Gstatic Com Images Q Tbn And9gcqalmlbtao2wvcvkjqc8xwrfqt8iejdjsctme3zffxlujonijum Usqp Cau

Epingle Sur Katia De Comment Economiser

Epingle Sur Katia De Comment Economiser

Epingle Sur Cook It Yourself

Epingle Sur Cook It Yourself

Tapis Rouge Avec Palais Photographie Toile De Fond Pour Les Etsy Red Carpet Background Photography Backdrops Red Carpet Backdrop

Tapis Rouge Avec Palais Photographie Toile De Fond Pour Les Etsy Red Carpet Background Photography Backdrops Red Carpet Backdrop

Croissance Et Developpement Des Machoires Bucco

Croissance Et Developpement Des Machoires Bucco

Epingle Sur Disneyland Paris

Epingle Sur Disneyland Paris

Palais Du Prince Electeur Treves Wikipedia

Palais Du Prince Electeur Treves Wikipedia

Https Apps Who Int Iris Bitstream Handle 10665 275272 9789242513530 Fre Pdf Ua 1

Https Apps Who Int Iris Bitstream Handle 10665 275272 9789242513530 Fre Pdf Ua 1

A La Decouverte D Issigeac La Rue De La Saucisse

A La Decouverte D Issigeac La Rue De La Saucisse

Epingle Sur Paris 1er

Epingle Sur Paris 1er

La Loge De Mer Perpignan La Catalane Perpinya La Catalana

La Loge De Mer Perpignan La Catalane Perpinya La Catalana

Https Www Getty Edu Publications Ambers Downloads Causey Ancientambers Pdf

Https Www Getty Edu Publications Ambers Downloads Causey Ancientambers Pdf

11 Plaques De Revetement En Liege 30 X 30 Cm Beige Plaque De Liege Liege Mural Liege

11 Plaques De Revetement En Liege 30 X 30 Cm Beige Plaque De Liege Liege Mural Liege

Xxb Fwxukwoxjm

Xxb Fwxukwoxjm

Reunion Des Musees Nationaux Grand Palais Ceramique Chantilly Porcelaine

Reunion Des Musees Nationaux Grand Palais Ceramique Chantilly Porcelaine

George Michael La Plaque A Ete Posee Sur Le Fauteuil Au Palais Garnier George Michael My Friend Com

George Michael La Plaque A Ete Posee Sur Le Fauteuil Au Palais Garnier George Michael My Friend Com

Epingle Sur Paris 1er

Epingle Sur Paris 1er

Orangettes Au Gingembre Les Petits Bonheurs Du Palais Orangettes Gingembre Racine De Gingembre

Orangettes Au Gingembre Les Petits Bonheurs Du Palais Orangettes Gingembre Racine De Gingembre

Temple Rouge A Kho Samui Thailande Voyage Thailande Photos

Temple Rouge A Kho Samui Thailande Voyage Thailande Photos

Epingle Sur Paris 1er

Epingle Sur Paris 1er

Hum J Hesite Toujours Je Pense Que Je Vais Opte Pour L Argente Instablogger Instamood Instanails Bagueananas Attrapereve Bornprettystorenailart

Hum J Hesite Toujours Je Pense Que Je Vais Opte Pour L Argente Instablogger Instamood Instanails Bagueananas Attrapereve Bornprettystorenailart

Pin On 5 Mains

Pin On 5 Mains

Vase De Porphyre Aigle De Suger Tresor De L Abbaye De Saint Denis Vase Egypte Ou Rome Imperiale Monture Saint D Stone Vase Antique Vase Antique Stone

Vase De Porphyre Aigle De Suger Tresor De L Abbaye De Saint Denis Vase Egypte Ou Rome Imperiale Monture Saint D Stone Vase Antique Vase Antique Stone

Reunion Des Musees Nationaux Grand Palais En 2020 Decoration Bateau Bateau A Voiles Renaissance

Reunion Des Musees Nationaux Grand Palais En 2020 Decoration Bateau Bateau A Voiles Renaissance

Morandi Painting Still Life Still Life Painting Still Life Art

Morandi Painting Still Life Still Life Painting Still Life Art

Https Encrypted Tbn0 Gstatic Com Images Q Tbn And9gctw7jktu0d9tpuvltsphmddgqdagr7d4zpdq8 2jc8emdkrzwyz Usqp Cau

Https Encrypted Tbn0 Gstatic Com Images Q Tbn And9gctw7jktu0d9tpuvltsphmddgqdagr7d4zpdq8 2jc8emdkrzwyz Usqp Cau

Jules Cheret Folies Bergere Fleur De Lotus 1893 Affiche D Art Nouveau Folies Bergeres Jules Cheret

Jules Cheret Folies Bergere Fleur De Lotus 1893 Affiche D Art Nouveau Folies Bergeres Jules Cheret

Epingle Sur Paris 1er

Epingle Sur Paris 1er

Ligne 2 Du Tramway De Nice Wikipedia

Ligne 2 Du Tramway De Nice Wikipedia

Appareil Fonctionnel Herbst Corrige La Retrognathie Mandibulaire Bucco

Appareil Fonctionnel Herbst Corrige La Retrognathie Mandibulaire Bucco

Les Plus Beaux Decors De Defiles Pret A Porter Automne Hiver 2017 2018 Hiver 2017 2018 Automne Hiver Automne

Les Plus Beaux Decors De Defiles Pret A Porter Automne Hiver 2017 2018 Hiver 2017 2018 Automne Hiver Automne

Cecile Renault French Revolution French Revolutionary Maximilien

Cecile Renault French Revolution French Revolutionary Maximilien

Un Hirondelle Eleonore Bridge Printemps Hirondelle Faire Soi Meme

Un Hirondelle Eleonore Bridge Printemps Hirondelle Faire Soi Meme

Exceptionnel Cabinet Flamand Orne In 2020 Architecture Auction L Annonciation

Exceptionnel Cabinet Flamand Orne In 2020 Architecture Auction L Annonciation

Https Www La Croix Com Actualite Sport Top 14 Toulon Sacre Champion De France 2014 05 31 1158985 2014 05 31t23 20 19 01 00 Http Img Aws La Croix Com 2014 05 31 1158985 Les Joueurs Toulon Brandissent Bouclier Brennus Apres Leur Victoire

Https Www La Croix Com Actualite Sport Top 14 Toulon Sacre Champion De France 2014 05 31 1158985 2014 05 31t23 20 19 01 00 Http Img Aws La Croix Com 2014 05 31 1158985 Les Joueurs Toulon Brandissent Bouclier Brennus Apres Leur Victoire

Sadigh Gallery S Ancient Phoenician Glass Face Pendant Phoenician Ancient Jewelry Ancient

Sadigh Gallery S Ancient Phoenician Glass Face Pendant Phoenician Ancient Jewelry Ancient

Desaix Egypte Egypte Pharaon Temple

Desaix Egypte Egypte Pharaon Temple

Cuisine La Bine Saumon Confit Recette De Base Variantes Saumon Confit Recettes De Cuisine Saumon

Cuisine La Bine Saumon Confit Recette De Base Variantes Saumon Confit Recettes De Cuisine Saumon

Paris Les Tulipes De Jeff Koons Ont Ete Taguees Le Parisien

Paris Les Tulipes De Jeff Koons Ont Ete Taguees Le Parisien

Le Petit Palais Cafe Restaurant Petitpalais Paris Fr Petit Palais Visite

Le Petit Palais Cafe Restaurant Petitpalais Paris Fr Petit Palais Visite

Boules De Neiges Chocolat Blanc Fruits Rouges Aux Delices Du Palais Les Recettes D Une Passionnee Gateau Boule Recette Dessert Noel Gateau Noel

Boules De Neiges Chocolat Blanc Fruits Rouges Aux Delices Du Palais Les Recettes D Une Passionnee Gateau Boule Recette Dessert Noel Gateau Noel

A Cabinet In The Mannerist Taste Fantastic Furniture Door Decorations Advertising Signs

A Cabinet In The Mannerist Taste Fantastic Furniture Door Decorations Advertising Signs

Lyon Pourquoi Y A T Il Une Dalle Rouge Rue De La Republique

Lyon Pourquoi Y A T Il Une Dalle Rouge Rue De La Republique

Epingle Sur Recettes Faciles Rapides Et Gourmandes A Tester

Epingle Sur Recettes Faciles Rapides Et Gourmandes A Tester

Recette Gateau Renverse Aux Quetsches 750g Recette Recette Gateau Gateau Renverse Idee Recette

Recette Gateau Renverse Aux Quetsches 750g Recette Recette Gateau Gateau Renverse Idee Recette

Epingle Sur Kim

Epingle Sur Kim

Reunion Des Musees Nationaux Grand Palais Grand Palais Vert De Gris Musees Nationaux

Reunion Des Musees Nationaux Grand Palais Grand Palais Vert De Gris Musees Nationaux

Epingle Sur Pain

Epingle Sur Pain

Pierre Alechinsky Alechinsky Peintures Art Abstrait Art Pierre

Pierre Alechinsky Alechinsky Peintures Art Abstrait Art Pierre

Https Encrypted Tbn0 Gstatic Com Images Q Tbn And9gcsi4mxgyqfpgxvvdvaigc8l66y Sx83rt9butcqzo6ecjm95mv8 Usqp Cau

Https Encrypted Tbn0 Gstatic Com Images Q Tbn And9gcsi4mxgyqfpgxvvdvaigc8l66y Sx83rt9butcqzo6ecjm95mv8 Usqp Cau

Une Fois Cuit Dressez Les Poissons Sur Des Assiettes Disposez Et Decorez Les Poissons Selon Poisson Braise Recettes De Cuisine Africaine Recettes De Cuisine

Une Fois Cuit Dressez Les Poissons Sur Des Assiettes Disposez Et Decorez Les Poissons Selon Poisson Braise Recettes De Cuisine Africaine Recettes De Cuisine

Date Unspecified Assiette Topographique En Porcelaine De Sevres De La Premiere Moitie Du Xixeme Siecle Marquee En Bleu Aux Deux C Entrel Art Table Antiques Art

Date Unspecified Assiette Topographique En Porcelaine De Sevres De La Premiere Moitie Du Xixeme Siecle Marquee En Bleu Aux Deux C Entrel Art Table Antiques Art

Not Found

Not Found

Dame Originale De Peinture Dart Sur La Robe Rouge De Balcon Etsy Art Painting Art Deco Posters Art

Dame Originale De Peinture Dart Sur La Robe Rouge De Balcon Etsy Art Painting Art Deco Posters Art

Eckart Muthesius 1904 1989 Deux Lanternes D Exterieur Circa 1930 Monture A Cornieres De Metal Argente Oxyde De Form Plaque De Verre Bois Rouge Lanterne

Eckart Muthesius 1904 1989 Deux Lanternes D Exterieur Circa 1930 Monture A Cornieres De Metal Argente Oxyde De Form Plaque De Verre Bois Rouge Lanterne

Epingle Sur Cuisine Mauricienne

Epingle Sur Cuisine Mauricienne

Fontainebleau View Through Doorway To A Marble Mantle Interieur Du Palais Chateau De Fontainebleau Interieurs Du Chateau

Fontainebleau View Through Doorway To A Marble Mantle Interieur Du Palais Chateau De Fontainebleau Interieurs Du Chateau

Palais D Amalienborg Royal Copenhague Plaque De Noel Denmark Royal Deco

Palais D Amalienborg Royal Copenhague Plaque De Noel Denmark Royal Deco

Musee De Bastia Wikipedia

Musee De Bastia Wikipedia

Ubu Roi Chez Le Roi De Pologne By Joan Miro 1953 54 The Weinstein Gallery San Francisco Ca Art Joan Miro Photo Art

Ubu Roi Chez Le Roi De Pologne By Joan Miro 1953 54 The Weinstein Gallery San Francisco Ca Art Joan Miro Photo Art

Pin By Erwan Mathieu On Paris Paris Visit Versailles Paris France

Pin By Erwan Mathieu On Paris Paris Visit Versailles Paris France

Pourquoi Il Y A Des Drapeaux Rouge Et Vert Ce Jeudi Sur Les Bus De Bourges Bourges 18000

Pourquoi Il Y A Des Drapeaux Rouge Et Vert Ce Jeudi Sur Les Bus De Bourges Bourges 18000

Moulin Rouge Paris Cancan 1890 Les Affiches Francaises D Epoque Affiche De Paris Moulin Rouge

Moulin Rouge Paris Cancan 1890 Les Affiches Francaises D Epoque Affiche De Paris Moulin Rouge

5 Chateau D Anet Anet Interieur S Ouvrent Sur Le Salon Rouge Jusqu A La Fin Du Xviii S Cette Piece Servi Chateaux Interiors Architecture French House

5 Chateau D Anet Anet Interieur S Ouvrent Sur Le Salon Rouge Jusqu A La Fin Du Xviii S Cette Piece Servi Chateaux Interiors Architecture French House

Sold Price A Bronze Figure Of Buddha Shakyamuni On A Lion Throne June 2 0117 10 00 Am Cest Buddha Buddhist Art Vajrayana Buddhism

Sold Price A Bronze Figure Of Buddha Shakyamuni On A Lion Throne June 2 0117 10 00 Am Cest Buddha Buddhist Art Vajrayana Buddhism

Anish Kapoor Marsyas Anish Kapoor Tate Modern Sculpture Installation

Anish Kapoor Marsyas Anish Kapoor Tate Modern Sculpture Installation

Henri De Toulouse Lautrec La Danse Mauresque 1895 Panneau Pour La Baraque De La Goulue A La Foire Du Trone A Paris C Rmn Grand P Painting Les Arts Gallery

Henri De Toulouse Lautrec La Danse Mauresque 1895 Panneau Pour La Baraque De La Goulue A La Foire Du Trone A Paris C Rmn Grand P Painting Les Arts Gallery

Pin On 3 La Belle Epoque 1870 1914

Pin On 3 La Belle Epoque 1870 1914

Rdvcnntghsvusm

Rdvcnntghsvusm

Salle D Armes Du Palais De La Cite Paris La Plus Grande Salle Gothique En Europe Paris Visite Plaque De Rue Paris

Salle D Armes Du Palais De La Cite Paris La Plus Grande Salle Gothique En Europe Paris Visite Plaque De Rue Paris

Search 500px Antananarivo Seychelles Islands Madagascar

Search 500px Antananarivo Seychelles Islands Madagascar

Http Poj Peeters Leuven Be Secure Poj Downloadpdf Php Ticket Id 5f2615a0d53c3

Http Poj Peeters Leuven Be Secure Poj Downloadpdf Php Ticket Id 5f2615a0d53c3

Cake Chorizo Comte Francois Regis Gaudry Frgaudry Sur Instagram Choisissez Un Bon Chorizo Artisanal Pas Ce Saucisson Rouge Qui Vous Deboite Le Palais A

Cake Chorizo Comte Francois Regis Gaudry Frgaudry Sur Instagram Choisissez Un Bon Chorizo Artisanal Pas Ce Saucisson Rouge Qui Vous Deboite Le Palais A

Date Unspecified Important Cabinet A Fleurs Louis Xiv And Later From A Parisian Master Workshop Pu Antique Furniture European Furniture Unique Furniture

Date Unspecified Important Cabinet A Fleurs Louis Xiv And Later From A Parisian Master Workshop Pu Antique Furniture European Furniture Unique Furniture

Https Encrypted Tbn0 Gstatic Com Images Q Tbn And9gcrmmraebisqtq3loh6mfm Gzxdglo1qt0vwfhmwbuaixzypsl3a Usqp Cau

Https Encrypted Tbn0 Gstatic Com Images Q Tbn And9gcrmmraebisqtq3loh6mfm Gzxdglo1qt0vwfhmwbuaixzypsl3a Usqp Cau

Source : pinterest.com